• Before-Metamorfoza 1
    After-Metamorfoza 1
    Przed Metamorfoza 1 Po

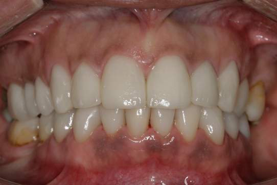
Estetyczna odbudowa łuku górnego i dolnego koronami i licówkami pełnoceramicznymi.

Pacjentka była niezadowolona z wyglądu swoich zębów posiadających stare wypełnienia kompozytowe i przebarwienia. Niektóre zęby były popękane i uszczerbione. Widoczna również nieestetyczna stara korona metalo-ceramiczna na lewej górnej dwójce. Kombinacja wykonanych koron pełnoceramicznych i licówek przywróciła estetyczny wygląd łuku górnego
i dolnego. W odcinku bocznym uzupełniono implantami dwie utracone w młodości dolne„szóstki”

  • Before-Metamorfoza 2 - widok z dołu
    After-Metamorfoza 2 - widok z dołu
    Przed Metamorfoza 2 - widok z dołu Po
  • Before-Metamorfoza 2
    After-Metamorfoza 2
    Przed Metamorfoza 2 Po

Odbudowa łuku górnego i dolnego przy pomocy koron i mostu pełnoceramicznego orazrekonstrukcja na implantach utraconych zębów w odcinku bocznym.

Pacjent po traumatycznych przeżyciach związanych z nadużywaniem przez kilka lat środkaów psychotropowych i kilkumiesięcznej terapii odwykowej. Postanowił doprowadzić do porządku swoje uzębienie, co miało być ostatecznym przypieczętowaniem jego powrotu donormalnego życia. Po ekstrakcji zniszczonych korzeni i zębów nie nadających się do naprawy wykonano leczenie kanałowe w kilkunastu zębach. Następnie odbudowanostrukturę wykonując wiele koron pełnoceramicznych i dwa mosty, a pozostałe utracone zęby uzupełniono implantami.

  • Before-Metamorfoza 3
    After-Metamorfoza 3
    Przed Metamorfoza 3 Po
  • Before-Metamorfoza 3 - widok frontalny
    After-Metamorfoza 3 - widok frontalny
    Przed Metamorfoza 3 - widok frontalny Po

Korekta nieestetycznych zębów przednich i bocznych w szczęce i żuchwie przy pomocy licówek i koron pełnoceramicznych.

Pacjentka w dojrzałym wieku marzyła o poprawie stanu estetycznego swojego uzębienia. Posiadała wiele nieestetycznych wypełnień kompozytowych oraz stare, nieszczelne wypełnienia amalgamatowe, które doprowadziły do przebarwienia koron zębów w odcinku bocznym. Całość dopełniała stara, niedostateczna korona na „jedynce” w nieprawidłowym kolorze. Niewielkie ubytki wyleczono przy użyciu kompozytu. W odcinku przednim w szczęce i
żuchwie wykonano licówki ceramiczne, a starą koronę wymieniono na nową. Zęby z rozległymi, nieszczelnymi wypełnieniami amalgamatowymi odbudowano koronami pełnoceramicznymi.

  • Before-Metamorfoza 4
    After-Metamorfoza 4
    Przed Metamorfoza 4 Po
  • Before-Metamorfoza 4 - widok z dołu
    After-Metamorfoza 4 - widok z dołu
    Przed Metamorfoza 4 - widok z dołu Po

Całkowita rekonstrukcja estetyczna i funkcjonalna łuku górnego i dolnego. Licówki i korony pełnoceramiczne oraz implanty w miejscu brakujących zębów. Rekonstrukcja protetyczna poprzedzona deprogramacją i leczeniem ortodontycznym.

Pacjentka zgłosiła się do ortodonty z powodu nieprawidłowego ustawienia zębów, zaburzeń ze strony stawu skroniowo-żuchwowego oraz wyraźnego starcia zębów. Po 18 miesięcznym leczeniu stałym aparatem ortodontycznym pacjentkę poddano deprogramacji, w celu przywrócenia prawidłowej relacji szczęki i żuchwy oraz unormowania pracy stawu skroniowo-żuchwowego. Defekty estetyczne oraz startą strukturę koron uzupełniono licówkami, nakładami i koronami pełnoceramicznymi.Przywrócono w ten sposób prawidłową wysokość zwarcia oraz uzyskano trwały efekt estetyczny . Utracone w młodości dwa zęby trzonowe uzupełniono przy pomocy implantów.

  • Before-Metamorfoza 5
    After-Metamorfoza 5
    Przed Metamorfoza 5 Po
  • Before-Metamorfoza 5 - widok z dołu
    After-Metamorfoza 5 - widok z dołu
    Przed Metamorfoza 5 - widok z dołu Po

Całkowita rekonstrukcja estetyczna i funkcjonalna łuku górnego i dolnego. Licówki i korony pełnoceramiczne oraz implanty w miejscu brakujących zębów. Rekonstrukcja protetyczna poprzedzona deprogramacją mięśniową.

Pacjentka zgłosiła się w celu przywrócenia prawidłowej funkcji i estetycznego wyglądu swojego uzębienia. Stwierdzono braki kilku zębów, stare i poniszczone wypełnienia kompozytowe, liczne ubytki oraz zniszczoną strukturę wielu zębów. Dodatkowo liczne braki doprowadziły do zaburzeń zwarcia , ścierania zębów i następowych kłopotów z gryzieniem.

Terapię zapoczątkowano od wszczepienia implantów w miejscu brakujących zębów. Następnie przeprowadzono kilkutygodniową deprogramację mięśniową w celu przywrócenia prawidłowych warunków zgryzowych. W końcowym etapie odbudowano strukturę zębów koronami pełnoceramicznymi (również osadzonymi na implantach) oraz licówkami, przywracając jednocześnie prawidłową estetykę uzębienia

  • Before-Metamorfoza 6
    After-Metamorfoza 6
    Przed Metamorfoza 6 Po
  • Before-Metamorfoza 6 - widok z dołu
    After-Metamorfoza 6 - widok z dołu
    Przed Metamorfoza 6 - widok z dołu Po

Poprawa estetyki uśmiechu przy pomocy licówek ceramicznych

Klasyczny przypadek poprawy estetyki zębów, zaburzonej starymi, niedostatecznymi wypełnieniami oraz nieprawidłowym ustawieniem zębów. Leczenie rozpoczęto od wybielania oraz korekty kształtu dolnych siekaczy przy pomocy kompozytu. Ostatecznie wykonano osiem licówek pełnoceramicznych w przednim odcinku szczęki.

  • Before-Metamorfoza 7
    After-Metamorfoza 7
    Przed Metamorfoza 7 Po
  • Before-Metamorfoza 7 - widok frontalny
    After-Metamorfoza 7 - widok frontalny
    Przed Metamorfoza 7 - widok frontalny Po

Całkowita rekonstrukcja funkcjonalno-estetyczna górnego i dolnego łuku zębowego. Korony i mosty pełnoceramiczne (w miejsce starych metalo-ceramicznych) w szczęce. Licówki w odcinku przednim oraz implanty w miejscu utraconych zębów w żuchwie

Pacjentka zgłosiła się na leczenie niezadowolona z wyglądu estetycznego swoich zębów.

Poza tym stwierdzono obecność niedoskonałych starych mostów (metalowo-ceramicznych) w odcinku bocznym w szczęce, brak kilku zębów w żuchwie oraz zaniżone zwarcie skutkujące tzw. „starczym profilem”. Zaburzony stosunek wysokości i szerokości siekaczy skutkował efektem tzw. „kwadratowych zębów”. Leczenie rozpoczęto od zabiegu chirurgicznego wydłużenia koron w odcinku przednim szczęki w celu zlikwidowania tego efektu. W dalszym etapie wymieniono stare mosty na nowe, pełnoceramiczne. Założono również korony i licówki pełnoceramiczne w odcinku przednim przywracając prawidłową wysokość zwarcia oraz zmniejszając znacznie diastemę (przerwę między górnymi jedynkami). Brakujące zęby w odcinku bocznym żuchwy uzupełniono koronami osadzonymi na wszczepionych wcześniej implantach. Wykonane leczenie przywróciło prawidłową funkcję zębów oraz ich estetykę.

  • Before-Metamorfoza 8
    After-Metamorfoza 8
    Przed Metamorfoza 8 Po
  • Before-Metamorfoza 8 - widok frontalny
    After-Metamorfoza 8 - widok frontalny
    Przed Metamorfoza 8 - widok frontalny Po

Kompleksowa korekta estetyczna przy pomocy licówek pełnoceramicznych z powodu wrodzonej wady szkliwa

 

Pacjentka cierpiąca na wrodzoną wadę rozwojową zębów w postaci częściowego braku oraz zaburzonej struktury szkliwa. W młodości ubytek ten został pokryty wypełnieniami kompozytowymi w obecnym stanie prezentującymi niedostateczny efekt estetyczny.

Wykonano szesnaście licówek pełnoceramicznych w przednim odcinku szczęki i żuchwy, przywracając harmonijny kształt i kolor zębów. Zapewniono tym samym satysfakcjonujący efekt estetyczny.

  • Before-Metamorfoza 9
    After-Metamorfoza 9
    Przed Metamorfoza 9 Po

Kompleksowa rekonstrukcja protetyczno – implantologiczna górnego i dolnego łuku zębowego poprzedzona przeprowadzeniem koniecznego leczenia kanałowego i zachowawczego.

Korony pełnoceramiczne i mosty oraz implanty w miejsce utraconych zębów.

Pacjent przez lata intensywnej aktywności zawodowej zaniedbał całkowicie swoje uzębienie. Ponaglany zaplanowaną, ważną uroczystością rodzinną postanowił zatrzymać i odwrócić trwającą przez lata degradację funkcjonalną i estetyczną narządu żucia.

Leczenie rozpoczęto od usunięcia korzeni i zębów zniszczonych nieodwracalnie. Następnie dokonano niezbędnej terapii zachowawczej w postaci leczenia kanałowego oraz odbudowano zrąb zębów wkładami z włókna szklanego. W miejscu utraconych zębów wszczepiono implanty. Ostatecznie przywrócono strukturę zębów wykonując korony i mosty pełnoceramiczne oraz korony oparte na wszczepionych implantach. Dokonano w ten sposób satysfakcjonującej rehabilitacji funkcjonalno- estetycznej.